Patientinformation om behandlinger i kæben
Hvad er Artroskopi?
Artroskopi er en undersøgelse, hvor artroskopet (et kikkertrør) indføres i et led. Herved kan man se direkte ind i leddet. Undersøgelsen foregår i fuld bedøvelse (narkose) og kan anvendes til at finde årsagen til hævelse, smerter, ustabile led eller bevægeindskrænkninger.
Artroskopet føres ind i ledet gennem et lille snit på huden foran øret. Når kikkertundersøgelsen er afsluttet, sys det lille snit med et enkelt sting og der lægges en forbinding hen over.
I forbindelse med undersøgelsen skylles kæbeleddet med fysiologisk saltvand. Det medfører at du efterfølgende kan være hævet i området omkring kæbeleddet.
Indlæggelsessamtale
Før din operationsdag skal du møde ind i Afdeling for Kæbekirurgis ambulatorium til indlæggelsessamtaler og forundersøgelser. Her bliver du orienteret om det forestående indgreb.
Du kommer i løbet af denne dag til at møde din kirurg og en sygeplejerske som giver dig information om indgrebet og de praktiske oplysninger du har brug for før din operation. Der vil blive optaget en lægejournal, og ved behov vil du også møde en narkoselæge. Hvis du har behov for beroligende medicin, for at dæmpe nervøsitet i forbindelse med narkose, så kan dette aftales med narkoselægen ved indlæggelsessamtalen.
Operationsdagen
Du skal møde fastende og tørstende på operationsdagen i henhold til de instrukser du har modtaget på indlæggelsesdagen.
Når du ankommer til operationsstuen, bliver der lagt et tyndt plastikrør i en blodåre, hvor der kan gives medicin og væske. Du får sovemedicin i plastikrøret og falder efter kort tid i søvn. Herefter sover du under hele operationen.
For at operationen kan udføres sterilt (helt rent), vil lidt af dit hår omkring øre og kæbeled blive klippet kort.
Efter operationen vil der sidde en enkelt sting i huden ud for kæbeleddet. Stinget er ofte dækket af en lille forbinding (plaster og gaze) efter operationen. Undgå at komme vand på forbinding/sår de første 5 dage. Forbindingen kan let blive lidt misfarvet af sårvæske og blod, hvilket er normalt. Forbindingen og stinget fjernes til din kontrolundersøgelse. Det kan også fjernes hos egen læge efter ca. 1 uge.
I timerne efter operationen kan de mimiske ansigtsmuskler være påvirkede. Der kan optræde nedsat følelse på huden over kæbeleddet. Området omkring leddet er normalt hævet efter operationen. Hævelsen kan vare i op til 2 uger.
Smerter
Indgrebet er sjældent meget smertefuldt, men der forventes ømhed i området i nogle uger efter operationen. Som rutine gives fast smertestillende medicin de første dage.
Kost
Efter undersøgelsen anbefales det at du spiser blød kost efter evne indtil dit kontrolbesøg. Hvis du oplever stærke smerter ved tygning af blød kost, kan flydende/pureret/moset kost være nødvendigt den første tid.
Infektion
For at forebygge infektion gives antibiotika i forbindelse med operationen. Kun sjældent er der behov for yderligere antibiotikabehandling.
Mundhygiejne
Mundpleje og tandbørstning foregår på normal vis før og efter operationen.
Gabeevnen
Gabeevnen er nedsat efter indgrebet og aktive gabeøvelser påbegyndes efter cirka en uge, eller efter anvisning fra din kirurg. Der må påregnes smerter ved gabeøvelser, specielt i starten. Det kan derfor være nødvendigt at tage smertestillende medicin i forbindelse med gabeøvelserne.
Kontrolundersøgelse
Kontrolundersøgelse i Afdeling for kæbekirurgi foretages efter 1-2 uger. Her vil der foregå følgende:
- Fjernelse af sting
- Kontrol af smerter
- Kontrol af bevægelighed
- Instruktion i øvelser (ved behov)
Kontakt
Ændring af tider
Afdeling for Kæbekirurgi, Telefon 47 32 38 50 (vælg sekretær)
Telefontid mandag - fredag kl. 9.00-12.00
Akutte problemer eller spørgsmål
Afdeling for Kæbekirurgi, Telefon 47 32 38 50 (vælg sygeplejerske), Telefontid mandag-fredag kl. 08.00-09.00
Akutte problemer eller spørgsmål aften/nat og weekend (kun de første dage efter udskrivelsen)
kontaktes Sjællands Universitetshospital - Køge omstilling:
Telefon: 56 63 15 00
Artrocentese er en skylning af kæbeleddet og behandlingen foregår i lokal bedøvelse. Ved undersøgelsen indføres to små kanyler i kæbeleddet. Gennem dette kan man skylle kæbeleddet.
Efter undersøgelsen har du 2 indstikssteder, hvor der vil der være lagt forbinding over. Forbindingerne må fjernes efter 2 døgn.
Mindre hævelse, ømhed og let rødme svarende til kæbeleddet er normalt de første dage.
Undgå at komme vand på såret de første 5 dage. Omkring kæbeleddet kan der være en del hævelse
Kost
Det første døgn efter operationen, bør du spise blød kost. Herefter må du spise efter evne.
Gabeøvelser
Du skal begynde at lave gabeøvelser indenfor det første døgn:
• Det er vigtigt, at gabeøvelserne udføres.
• Tag smertestillende ved behov.
• Øvelserne laves 3 gange dagligt.
• Hvis du har bidskinne, må denne gerne bruges.
Smerter
Normalt er håndkøbsmedicin tilstrækkeligt, fx tablet Panodil. Dette kan evt. suppleres med tablet Ipren, dog ikke ved mavesår.
Fysisk aktivitet
Rygning og fysisk aktivitet frarådes det første døgn.
I-PRF
I nogle tilfælde vil behandlingen blive suppleret med en blodprøve som tages under besøget. Blodet vil blive centrifugeret og anvendt i behandlingen i din kæbe.
Kontrol
Vi ser dig gerne til en opfølgende kontrol efter 3 måneder. Hvis der er behov for det, kan behandlingen gentages. Dette afhænger af den opfølgende undersøgelse, og hvad vi konkluderer i fællesskab.
Kontaktoplysninger
Du kan kontakte os på:
Sjællands Universitetshospital, Køge
Tlf. 47 32 38 50
Man-fre. kl.9-12
Sygeplejetelefon mandag, onsdag, torsdag og fredag fra kl. 8-9
Uden for åbningstid ved komplikationer eller akut behov for hjælp kontaktes:
Fra 15.00-08.00:
Øre-næse- og hals sengeafsnit
tlf. 47 32 38 00
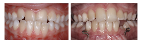
Kæbe- og tandstillingsfejl
Før operation - underbid

Efter operation - underbid
Forundersøgelse
Når du er henvist til Afdeling for Kæbekirurgi, bliver du indkaldt til en forundersøgelse, hvor vi klarlægger dit behandlingsbehov og behandlingsforløb. Du skal også til en konsultation hos en specialtandlæge, hvor du får taget røntgenbilleder og tandaftryk.
Forbehandling
Den gennemsnitlige forbehandlingstid er cirka 1 år og består først og fremmest af tandregulering, hvor du får en bøjle på alle tænder. Desuden omfatter forbehandlingen ofte tandudtrækninger og/eller fjernelse af visdomstænder.
Indlæggelse med operation
Når du skal opereres bliver du indlagt i Afdeling for Kæbekirurgi og bliver udskrevet 1- 4dage efter operationen. Læs mere om operationsdagen i patientinformationerne nedenfor.
Efterbehandling
Efterbehandling omfatter først og fremmest den afsluttende tandregulering i ca. ½ år, men også kontrolbesøg hos kirurgen.
Efter afsluttet aktiv tandregulering følger en periode, hvor behandlingsresultatet stabiliseres. Denne periode strækker sig over ½ år til flere år.
Journaloptagelsesdagen
Før din operation skal du møde i Tand, Mund,- og Kæbekirurgisk afdeling- her skal du tale med en:
- Kæbekirurg, der skriver indlæggelsesjournal. Du bliver informeret om operation og forventet forløb.
- Læge, der lytter på dit hjerte og dine lunger og skriver din medicinske journal.
- Sygeplejerske, der informerer om indlæggelsesforløbet og andre praktiske informationer.
- Narkoselæge, der taler med dig om bedøvelsen.
Du vil blive guidet igennem journaloptagelsesdagen af en sygeplejerske. Det vil være en god idé at medbringe læsestof, da der vil være ventetid. Du har mulighed for at købe mad, men det er også tilladt at indtage medbragt mad i venteområdet ved siden af cafeteriet. Du skal regne med at besøget varer 1-2 timer.
Efter operationen
Når du er opereret bliver du kørt på opvågningen. Først når du er helt vågen, vil du blive kørt til sengeafsnittet.
Efter din operation kan du forvente følgende:
- De fleste vil vågne op med en plastskinne (mellembid/wafer) som sidder fast på tænderne i overkæben
- Elastiktræk mellem over- og underkæbe
- Hævelse i ansigtet
- Bedøvet fornemmelse i ansigtet
- Syninger i munden
Plastskinnen skal blive siddende på dine overkæbetænder i ca. 4 uger efter operationen. Der bruges elastiktræk mellem over- og underkæbens tænder i den samme periode. Dette skal sikre, at dine kæber vokser sammen i den korrekte stilling efter operationen. Du vil være indlagt imellem 1-2 dage efter kæbeoperationen.
Besøgstider på sengeafdelingen
Du kan få besøg af dine pårørende så ofte du ønsker. Pårørende er meget velkomne og er gode medspillere i efterforløbet, hvor sygeplejersken med sine faglige kompetencer vil få dig mobilisereret og hjulpet i gang med selv at udføre mundhygiejne, spise mm.
Vi kan desværre ikke tilbyde pårørende at overnatte. Dine pårørende kan døgnet rundt kontakte sengeafsnittet på telefon 47 32 38 20. Ønsker du eller dine pårørende at tale med en af afdelingens vagthavende tandlæger, kan sengeafdelingen formidle kontakt.
Udskrivelse
Inden udskrivelsen vil du få lejlighed til at tale med en stuegangsgående tandlæge om operationen og du bliver instrueret i elastikskift. Sygeplejerskerne i sengeafdelingen informerer om kost, mundhygiejne, mobilisering og smertestillende. Du har tid til en ambulant kontrol ugen efter din udskrivelse. Du får taget nye røntgenbilleder ved første ambulante kontrol efter operationen.
Kontrol de første uger efter operationen hos kirurgen
Den første måned efter operationen skal du til kontrol 1,2 og 5 uger efter operationen. En del af forudsætningerne for et godt resultat er:
- at du bruger elastikkerne som aftalt
- at du opretholder en god mundhygiejne, også selv om det i starten kan føles vanskeligt
- at du indtager det ordinerede medicin
- at du følger kostanvisningerne
Ved hvert kontrolbesøg kontrollerer din kirurg, at du bider korrekt op i plastskinnen. Det kontrolleres ligeledes, at elastikkerne anvendes som anvist.
Desuden vil du have mulighed for at få afklaret eventuelle problemstillinger. Trådene i munden forsvinder af sig selv indenfor 3-4 uger.
Aktivitet
Efter din operation er det vigtigt, at du kommer ud af sengen, og bevæger dig, gerne samme dag som du er opereret. Efter evne, selv gå på toilettet, tage et bad og selv hente mad. Sygeplejersken i sengeafsnittet vil vejlede dig i mobilisering.
Kost
I det første døgn efter operationen vil din kost være kold og flydende, og herefter må du spise tyggefri kost. Du kan selv hente mad i afdelingens spiseområde, hvor der står et køleskab med diverse proteindrikke, kakao og andre flydende drikkevarer.
Af hensyn til dit helbred og heling er det vigtigt, at du spiser og drikker rigeligt, også selvom du umiddelbart ikke har lyst til det på grund af manglende appetit, gabe-synkebesvær og evt. kvalme.
Efter ca. 4 uger når plastskinnen er fjernet, kan du igen begynde at tygge.
Først efter 2 måneder må du begynde at tygge hårde/seje fødeemner, dog fortsat kost, der skåner din bøjle.
Næsen
Efter operationen kan der forekomme blødning fra næsen, dette skyldes siveblødning fra operationen. Siveblødning kan med tiden blive afløst af gulligt klar væske, dette er forventeligt. Du skal helt undgå at pudse næse. Hvis du skal nyse, sørg da for at have åben mund for at undgå overtryk i bihulen. Ved tilstoppet næse er det muligt at bruge en fugtet vatpind og forsigtigt dreje den rundt i næsen. Eller skylle næsen med saltvand, som kan købes på apoteket.
Elastiktræk
Elastikkerne mellem over- og underkæbe bliver justeret af stuegangsgående tandlæge inden udskrivelsen. Du bliver også instrueret i, hvordan du selv skifter elastikkerne dagligt. Elastikkerne kan max. bruges i et døgn ad gangen, men må gerne skiftes oftere. Ved tandbørstning og måltider skal de tage ud.
Mundhygiejne
De første dage efter indgrebet kan det være svært for dig at børste tænder ordentligt. Det er dog vigtigt, du gør det mindst 2 gange om dagen. Du kan få hjælp og instruktion af sygeplejerskerne under indlæggelsen.
Det er vigtigt du opretholder en god mundhygiejne. Børst forsigtigt dine tænder morgen og aften, og skyl med Klorhexidin 2 gange dagligt i mindst 1 minut.
Hvis du har fået udleveret en rød blød tandbørste, er den kun til de 3 første dage efter operationen, derefter skal du bruge din normale tandbørste.
Smerter
Det er forventeligt at du har smerter efter operationen, og det er ikke muligt at fjerne alle smerte gener, dog skal du være så smertedækket, så du kan finde ro til at sove og så du har mod på at komme ud af sengen. Du vil få smertestillende medicin på faste tidspunkter under din indlæggelse. Hvis du ikke er tilstrækkeligt smertelindret, skal du informere sygeplejerskerne, som har mulighed for at supplere med mere smertestillende.
Ved udskrivelsen får du en elektronisk recept på den nødvendige medicin, herunder smertestillende tabletter. Sørg for at tage det smertestillende medicin på de angivne tidsintervaller, for at undgå smertegennembrud.
Hævelse i ansigtet
Efter operationen skal du ikke blive forskrækket over dit udseende, men være forberedt på at ansigtet kan være meget hævet. Den største del af hævelsen vil forsvinde i løbet af 14 dage, og den resterende hævelse vil svinde over en længere periode. Det kan være en god ide, at ligge ”højt” med hovedet om
natten, evt. ved hjælp af en ekstra hovedpude. Dette hjælper din krop til at komme af med hævelsen.
Følesans
Følesansen i dit ansigt og i din mund vil være ændret efter operationen. Vær forberedt på at du kan føle dig bedøvet i mund, læber og ansigt i op til flere måneder efter indgrebet. Følelsen vil langsomt vende tilbage, og vil i de fleste tilfælde være næsten helt normaliseret efter 1 år.
Udseende
Du skal være forberedt på, at operationen kan ændre dit udseende en del. På grund af hævelsen går der flere uger/måneder, inden du kan vurdere resultatet. Hav tålmodighed og forvent, at dine omgivelser kan reagere på dit forandrede udseende.
Psykisk
Det er normalt at føle sig nedtrykt efter en kæbeoperation, men det hjælper at komme så meget op af sengen som muligt, samt få spist og drukket rigeligt. Gør almindelige hverdagsting, som du plejer.
Betændelse
For at forebygge infektioner gives antibiotika under indlæggelsen, og eventuelt indtil 10 dage efter udskrivelsen. Infektioner er relativt sjældne, men måtte du alligevel opleve feber eller lokaliseret rødme og smerte, så kontakt afdelingen.
Gabeevne
Din evne til at åbne munden vil være nedsat efter operationen. Det skyldes smerter og hævelse. Du kan starte med at gabe uden elastikker i munden efter operationen. Du får nærmere instruktion af din behandler.
Sygemelding
Du bør regne med at være sygemeldt op til 5 uger efter operationen. Længden af din sygemelding vil afhænge af indgrebets omgang, og hvilket type job/uddannelse du er beskæftiget med.
Sport
Det er vigtigt at holde sig fysisk i gang, men du bør undlade sport de første 2 uger efter indgrebet, samt hård sport de første 4 uger efter indgrebet. Kontaktsport som fx håndbold må tidligst genoptages efter 3 måneder.
Plastskinnen
4 uger efter operationen fjernes plastskinnen, og der tages nye kontrolrøntgenbilleder. Herefter fortsætter du hos din specialtandlæge i tandregulering, som 4 uger efter operationen vil påbegynde den afsluttende tandregulering.
Efterkontrol hos kirurgen
Du vil fortsat blive kontrolleret af en kæbekirurg 1 år efter operationen, sideløbende med dit tandreguleringsforløb. Formålet er at vurdere funktionen af dine tænder, muskler og kæbeled efter operationen.
Forløbsoversigt
Denne information giver en oversigt over, hvad en ortodontisk-kirurgisk behandling omfatter. Behandlingen omfatter såvel tandregulering som operation. Der er mange former for kæbeafvigelser. Du kan tale med din kirurg om hvad der er gældende for dig.
Ved første besøg
Du vil blive set af en kæbekirurg og du vil få taget røntgenbilleder og/eller en scanning. Under besøget vil dit ansigt blive målt og oplysningerne tastet ind i et skema. Disse mål samt dine røntgenbilleder og/eller scanning, vil blive brugt på en efterfølgende konference, hvor der bliver lagt en ortodontisk behandlingsplan og en kirurgisk behandlingsplan.
Som en del af behandlingen skal dine visdomstænder fjernes. Du vil blive informeret om hvilke tænder det er gældende for dig. Denne behandling vil foregå i vores ambulatorie.
Ved andet besøg
Der vil der blive taget aftryk af dine tænder samt taget foto af dit ansigt. Disse ting skal ligeledes bruges til den efterfølgende konference.
Konference
Konferencen forgår uden din tilstedeværelse. På konferencen vil der være et hold af ortodontister og kæbekirurger der udarbejder en behandlingsplan for dig, hvis det vurderes, at du kan opfylder kriterierne for at kunne tilbydes et behandlingsforløb.
Svar på konferencen vil enten foregå telefonisk eller via besked i din digitale postkasse.
Behandlingsforløb (kort skitseret):
- Forbehandling med bøjle på tænderne og fjernelse af visdomstænder
- Indlæggelse og operation
- Efterbehandling med bøjle på tænderne
Forbehandling
Forbehandling består først og fremmest af tandregulering, hvor der påsættes bøjle på samtlige tænder. Som udgangspunkt er det ”togskinner” i metal der påsættes. Bøjlen skal kontrolleres/justeres ca. hver 4.-6. uge. Den gennemsnitlige forbehandlingstid estimeres til 1½-2 års behandling. I den proces kan der forekomme fjernelse af andre tænder end dine visdomstænder.
Indlæggelse og operation
Når du nærmer dig indlæggelse og operation vil du modtage særskilt skriftlig vejledning og information om dette. Der vil være en forberedelsesdag forud for operationen, hvor du kommer til samtale med din kirurg, en sygeplejerske, en Øre-Næse-Halslæge og en narkoselæge. På forberedelsesdagen er det også en god ide at have en pårørende med.
Din indlæggelse forventes at tage 2 dage. Du skal regne med en 5 ugers sygemelding efter din operation.
Efterbehandling
Efterbehandling omfatter afsluttende tandregulering i ca 1 år, samt kontroller hos din kirurg. Efter afsluttende aktiv tandregulerende behandling følger der en periode, hvor behandlingsresultatet stabiliseres og kontrolleres.
Efter samtale og undersøgelse i Kæbekirurgisk afdeling, er der nu lagt en behandlingsplan, og det er tid til at påbegynde tandreguleringsbehandlingen forud for din kæbeoperation. I denne vejledning får du en række oplysninger om, hvorfor og hvordan tandreguleringen bliver udført.
Vores afdeling samarbejder med flere bøjletandlæger på Sjælland. Når du skal visiteres, vurderes ventetid samt afstand til hjemmeadresse.
Formål med tandreguleringen
Tænderne vil altid i større eller mindre grad have indstillet sig efter den nuværende kæbestilling. Formålet med tandreguleringen er derfor at forberede tandbuerne til det nye sammenbid, som bagefter opnås ved kæbeoperationen.
Under den indledende tandreguleringsbehandling forværres sammenbid og tandstilling ofte.
Påsætning af bøjlen
Tandreguleringsbehandlingen foregår med fastsiddende bøjler, der sidder på tænderne i både over- og underkæben. Bøjlerne påsættes som regel over to eller flere gange, og der vil derfor oftest være angivet to eller tre mødetider i forbindelse med behandlingsstarten. Det er vigtigt, at man kommer på alle de anførte tider.
Kontrolbesøg
Når bøjlerne er påsat, skal de som regel kontrolleres og justeres ca. 1 gang hver 6. uge. Hvert kontrolbesøg varer omkring en halv time. Er man forhindret, skal man kontakte den tildelte specialtandlæge hurtigst muligt og aftale en ny tid. Ved gentagne udeblivelser vil vi afbryde behandlingen. Inden kæbeoperationen og når den indledende tandreguleringsbehandling er ved at være afsluttet, tages der nye aftryk af tænderne for at kontrollere, om målet med tandreguleringen er opnået. Af samme grund bliver der taget nye røntgenbilleder.
Varighed af tandreguleringsbehandlingen
Varigheden af tandreguleringsbehandlingen inden kæbeoperationen er normalt op til 2 år. Vær opmærksom på, at bøjlen også sidder på tænderne under kæbeoperationen og op til 1 år efter, hvor den bruges til at stabilisere og finjustere det nye sammenbid.
Kontrol hos egen tandlæge
Det er en betingelse for at gennemføre behandlingen, at du fortsætter de regelmæssige eftersyn hos din egen tandlæge. Det kan endda være tale om at øge hyppigheden af kontrollerne i en periode, hvis vi skønner det nødvendigt. Vi gør opmærksom på, at al behandling hos egen tandlæge er for egen regning, det gælder også for skader på tandsættet, som måtte være opstået i forbindelse med tandreguleringsbehandling og operation
Når bøjlebehandlingen afsluttes
Inden bøjlen fjernes, skal der fremstilles fastsiddende holdebøjler i form af små ståltråde, som limes på bagsiden af fortænderne i underkæben og somme tider også overkæben. Desuden vil der normalt blive fremstillet en aftagelig holdebøjle til tænderne i overkæben. Den skal i starten bruges døgnet rundt undtagen ved spisning og ved tandbørstning, senere kun om natten. Holdeståltrådene skal normalt bevares hele livet, den aftagelige holdebøjle kan sædvanligvis nedtrappes med mindre den skal fungere som back-up i forhold til en holdeståltråd i overkæben.
Kontrol af tandstillingen når bøjlen er fjernet
Du skal fortsat komme til tandreguleringskontrol efter at bøjlen er fjernet. Der vil være op til ½ år mellem disse kontroller. I den periode er det vigtigt, at du selv er opmærksom på om holdebøjlerne fungerer som de skal og gør klinikken opmærksom på, hvis noget er ændret.
Når behandlingen afsluttes
Vi vil normalt holde øje med dit bid og din tandstilling efter at bøjlen er fjernet. Ved den sidste kontrol får du udleveret en vejledning med retningslinjer for vedligeholdelse af holdebøjlerne fremover. Herefter er det dit eget ansvar at få efterset og evt. repareret holdebøjlerne via din egen tandlæge.
Godt at vide i forbindelse med behandlingen
Ømme tænder
Efter bøjlepåsætningen bliver tænderne som regel ømme på grund af det tryk, bøjlen påvirker tænderne med. Ømheden varer som regel 3 – 4 dage, nogle gange lidt længere. Det vil i den periode være en god idé, at holde sig til blød kost, og det kan komme på tale at anvende almindelig smertestillende medicin.
I den øvrige del af perioden inden næste kontrol af tandreguleringsapparaturet kan der forbigående opstå ømhed af enkelte tænder.
Løse tænder
Det er en nødvendig proces for tandregulering, at tænderne bliver lidt løse. Dette vil ske under hele behandlingen. Der er ingen grund til bekymring, da tænderne vil vokse fast i deres nye stilling.
Tandbørstning
Det er vigtigt, at tandkød, tænder og tandreguleringsapparaturet holdes rent, og at man følger de anvisninger, som man har fået i forbindelse med påsætning af apparaturet. Kontrollér i spejlet, at tænderne er helt rene, og at apparaturet er rent og ikke i stykker. Det er en betingelse for at gennemføre behandlingen, at tænder er rene, tandkødet er sundt og at du fortsætter de regelmæssige eftersyn hos egen tandlæge. Behandlingen vil blive afbrudt ved utilstrækkelig pleje af tænderne.
Spisning
Vær omhyggelig med at beskytte tandreguleringsapparaturet under spisning. Undgå hård og sej kost som f.eks. brødskorper, hårde brødkerner, sejt kød, nødder, karameller og bolcher. Hård frugt skæres i små skiver eller rives. Sukkerfrit tyggegummi er tilladt, og kan faktisk hjælpe i perioder med ømme tænder, da ømheden så kan aftage hurtigere.
Hvis bøjlen går i stykker
Hvis bøjlen går i stykker eller generer kontaktes tandreguleringsklinikken. Hvis noget af apparaturet er faldet af, opbevares det og medbringes på klinikken. Hvis bøjlen generer kind, læbe eller tunge meget, kan du påsætte et lille stykke beskyttelsesvoks eller selv forsøge at skubbe den stikkende tråd på plads igen - f.eks. med enden af en ske.
Tandbørstning
Børst tænderne normalt fra dagen efter operationen, men børst kun på tænderne. Der må ikke børstes direkte på sår og tråde. Det er vigtigt at holde munden ren. En uren mund giver større risiko for betændelse i såret.
Hvis du er meget hævet og har svært ved at komme til i munden, kan du prøve at børste med en tandbørste med et lille børstehoved, fx en tandbørste beregnet til små børn.
Pause mellem tandbørstning og Klorhexidin mundskyllevæske
Vent minimum 1 time efter tandbørstningen før du skyller munden med Klorhexidin mundskyllevæske, da tandpasta nedsætter virkning af Klorhexidin. Hvis du bruger tandpasta uden skummemiddel, behøver du dog ikke holde pause mellem tandbørstning og Klorhexidin mundskyllevæske.
Mundskylning med Klorhexidin 0,1 %
For at holde såret rent skal du skylle med desinficerende mundskyllevæske (Klorhexidin 0,1 %) morgen og aften. Din kirurg bestemmer hvor mange dage du skal skylle med Klorhexidin. Start med Klorhexidin mundskyllevæske dagen efter operationen.
Fremgangsmåde:
- Brug en hættefuld Klorhexidin mundskyllevæske.
- Skyl Klorhexidinen rundt i munden i et minut.
- Spyt Klorhexidinen ud.
- Der må ikke skylles efter med vand.
- Vent en halv time før du drikker noget efter brug af Klorhexidin mundskyllevæske.
Klorhexidin 0,1 % mundskyllevæske kan købes i håndkøb på apoteket.
Elastikker (til dig der har bøjle)
Efter operationen vil du have elastiktræk mellem over- og undermund. Inden du bliver udskrevet, vil du blive undervist i at tage elastikkerne af og på.
Elastikkerne må tages af når du børster tænder og når du spiser. Du kan godt tage de samme elastikker på igen. En gang om dagen skal du skifte elastikkerne ud med nye elastikker.
Tag gerne et foto af elastikkerne inden du fjerner dem første gang, så du kan huske hvordan de skal sidde.
Eksempel på foto:

Generel information om gener efter operation
Alt efter hvilket indgreb du har fået foretaget, er det forskelligt, hvor meget du kan gabe op efter indgrebet.
Du kan være øm eller have ondt. Selvom det gør ondt og kan føles svært, må du gerne gabe op. Du må IKKE tygge! Ømheden fortager sig omkring ca. 2-3 uger efter operationen.
Er du opereret i overkæben, må du heller ikke pudse næse i 4 uger.
Så længe at du har nedsat følelse i læber og tunge, skal du være opmærksom på ikke at spise varm mad og drikke, da du kan risikere at brænde dig uden at bemærke det.
1.postoperative døgn
Her er du indlagt i sengeafsnittet. Det første døgn skal du drikke koldt flydende f.eks. milkshake, proteindrikke, vand, saft, is, koldskål, skyr og yoghurt.
Udskrivelse
Efter din operation skal du spise blød mad, som du kan spise ved at mose med tungen, uden at tygge maden. Spørg den pågældende kirurg eller sygeplejerske, om hvor længe du skal blive ved med dette, da det afhænger af, hvilken operation du har fået foretaget.
Samtidig er det vigtigt, at du spiser varieret kost, så din krop får alle de næringsstoffer, den har brug for.
En rigtig sammensat kost med rigelige proteiner hjælper operationssåret og knogler til at hele bedst muligt.
Sørg for, at du hver dag spiser
- Kød, fisk eller æg (hakket eller blendet)
- Mælkeprodukter eller ost
- Grøntsager (kogt og blendet)
- Frugt (revet eller moset)
- Brød (uden kerner og skorper) eller gryn (opblødet i 10min)
- Drik mindst 2l. væske dagligt.
Mos eller findel maden
Spis det mad du har lyst til, men vurder hvilken mad du kan mose med en gaffel, så du ikke behøver tygge den. Det er nemmest at mose kogt mad, men stegt mad kan også findeles, hvis du fjerner stegeskorpen først. Du kan fortynde den mosede mad med kogt vand, bouillon, sovs eller mælk/fløde. Spis maden med en lille ske eller gaffel.
Spis mange små måltider
I begyndelse kan du have svært ved at spise den mængde mad, du plejer. Enten fordi du er øm og hævet ved kæben, eller fordi du har fået elastikker på din tandbøjle. -Spis derfor mindst 6 små måltider om dagen i stedet for få store måltider.
Hvis du spiser varieret og efter anbefalingerne (i forhold til din vægt – se skema på side 2) bør kosttilskud og vitaminpiller ikke være nødvendigt. Er du vant til at tage en f.eks. multivitaminpille, så fortsæt med dette. Husk at revet frugt er med til at holde maven i gang.
Anret maden indbydende
Anret din mad indbydende på en tallerken, så du får lyst til at spise den. Det er vigtigt at du spiser alle dine måltider.
Spis varm mad både til frokost og aften
Vi anbefaler, at du spiser varm mad både til frokost og aften, da det ofte er lettere at spise. Du kan fx lave dobbeltportioner, som kan opvarmes, så du slipper for at lave varm mad flere gange om dagen.
Undgå sukker, mel og klæbrige fødevarer
Undgå at spise fødevarer og mad med et højt indhold af sukker og mel samt klæbrige fødevarer. Dette kan give bakteriebelægninger på tænder og tandbøjle og øger risikoen for infektion og huller i tænder samt tandkødsbetændelse. Hvis du spiser klæbrig mad, skal du være ekstra omhyggelig med mundhygiejne.
| Nuværende vægt | 40-45 kg | 50-60 kg | 65-70 kg | 75-80 kg | 85-90 kg |
|---|---|---|---|---|---|
| Energi | 6.000 kj | 7.000 kj | 8.000 kj | 9.000 kj | 10.000 kj |
| Protein | 65 g | 75 g | 80 g | 95 g | 105 g |
Suppler eventuelt med proteindrikke
Hvis du ikke kan spise nok mad i den rette sammensætning, kan det blive nødvendigt at supplere den hjemmelavede mad med flydende fuldkostprodukter, fx proteindrik, smoothies eller lignende produkter tilsat
proteinpulver.
Opskrift på et nemt og lækkert mellemåltid - koldskål (1liter)
- 4 stk pasteuriserede æggeblommer
- 60 g sukker
- 5 ½ dl kærnemælk
- 1 dl piskefløde
- Vanilje, sukker og citron
Søg evt. på Google for inspiration til blødkost-opskrifter.
Læs om
Kontakt
Adresse
Sjællands Universitetshospital
Tand-, Mund- og Kæbekirurgisk Afdeling
Fløj R
Lykkebækvej 1, Stuen
4600 Køge
Se kort
Find vej til Sjællands Universitetshospital, KøgeÅbningstider
(tirsdag 9.00-15.00)
Ring til os
Sygeplejerske mandag til torsdag kl. 8.00-9.00
Lægesekretær mandag til fredag kl. 9.00-12.00
Regionstandplejen
Mandag til torsdag kl. 8.00-15.00
Fredag kl. 8.00-12.00
Køge - Tand-, Mund- og Kæbekirurgisk Afdeling
Skriv til os
Øvrig information
Hvis du er nødt til at melde afbud! Ring til os med det samme. Så kan vi indkalde en anden patient og undgå lange ventelister.
